Novel AI Model Identifies Stroke Timing Twice as Accurately as Contemporary Method
A new study published by researchers primarily from the Imperial College of London demonstrated that an AI model they developed is capable of identifying the time of stroke twice as accurately as contemporary methods. The model calculates the chronometric age, the precise age of a specimen determined through scientific techniques, of brain lesions caused by stroke from non-contrast CT (NCCT) scans.
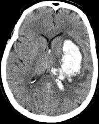
Brain scan: Black = ischemic stroke, white = hemorrhagic stroke. Source
Chronometric age of the brain lesion is a critical parameter clinicians use to assess the types of interventions a patient may benefit from receiving. The best contemporary method for treating acute stroke, administering tissue plasminogen activator (tPA) to break blood clots in the brain, is only effective within the first 4.5 hours post-stroke. Similarly, surgical interventions have been shown to be more effective in the first 6 hours post-stroke compared to 6-24 hours post stroke.
The model is a Convolutional Neural Network (CNN), a type of deep learning model designed to process and analyze grid-like data (such as images) using layers of convolutional filters to detect spatial patterns & features. It combines CNN functionality with radiomics, a technique often used in medical imaging where algorithms are applied to images to extract spatial features of tissue & lesions. The combination of CNN & radiomics has demonstrated improved performance over CNN and radiomics individually in other medical imaging applications, such as characterizing glioblastoma features in MRI scans.


